-
-
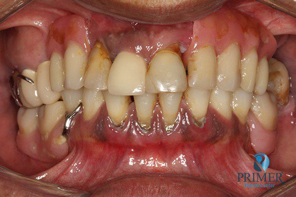
Nome: Maria das Dores Silva
Idade: 63 anos
Tratamento: Implante dentário, Prótese dentária
Realizado em: Agosto de 2012Detalhes do tratamento: Implantes instalados imediatamente após extrações de dentes inferiores e prótese fixa sobre implantes (instalada 72 horas após a cirurgia).
Realizado por: Dr. Alexandre e Dra. Mariza
Depoimento:
Fiz tratamento odontológico com Dr. Alexandre e Dra. Mariza. Foi muito bom, gostei muito e estou muito satisfeita. Com Dr. Alexandre fiz cirurgia e implante. Foi muito bom não sentir dor, foi perfeito. Com Dra. Mariza fiz prótese fixa sobre implante inferior e prótese total “normal” superior. Estou muito satisfeita com o trabalho deles!
- Antes
- Depois
- Sorriso inicial
- Sorriso final





















